Ju keni caktuar një termin te dentisti, por momenti nuk vije aq shpejt sa keni nevojë. Ndërkohë, çfarë mund të ju ndihmojë është shpëlarja e gojës me ujë të ngrohtë, pastrimi i dhëmbëve me pe për t’a hequr ushqimin qe ka mbetur në mes të dhëmbëve ose marrja e ndonjë tablete për të lehtësuar dhimbjen. Nëse vëreni ënjtje ose qelb përreth dhëmbit ose keni ethe, janë shenja që keni probleme më serioze. Prandaj takoni dentistin sa më shpejt të jetë e mundur. Ndoshta keni nevojë për antibiotikët apo keni ndonjë kanal të hapur në rrënjë ku duhet të intervenohet.
-
Dhëmbët me njolla

Dhëmbët tuaj duken të pa-pastruar. Qasja e duhur mund të largojë shumë njolla. Ushqimet, medikamentet, duhani dhe lëndimet janë disa nga gjërat që mund të largojnë bardhësin e dhëmbëve tuaj. Ju keni tre opsione për zbardhjen e tyre. Dentisti mund të përdorë produkte zbardhje dhe një dritë të veçantë në klinikë. Mund të bëhet zbardhja në shtëpi me një tabakë plastike dhe xhel që ju rekomandon dentisti ose farmacisti. Dhe zgjedhja më e thjeshtë është zbardhja me pastë dhe shpëlarës për zbardhje që heqë vetëm njollat sipërfaqësore.
-
Dëmtimi i dhëmbëve/ Kariesi
Vrimat e vogla në dhëmbët tuaj janë një lajm i keq. Ato krijohen kur një bakterie që ngjitet, e quajtur pllakëz, ndërtohet mbi dhëmbët tuaj duke shkatërruar ngadalë pjesën e jashtme të quajtur smalt. Të rriturit gjithashtu mund të kenë probleme me prishjen e dhëmbëve në pjesën afër mishit dhe rreth skajeve ku keni pasur mbushje më parë. Për të parandaluar këtë, pastroni dhëmbët tuaj të paktën dy herë në ditë me një pastë fluoride, kufizoni shujtat, pastroni dhëmbët me pe çdo ditë, shpërlani gojën me gargarë fluoride, dhe mos i humbni terminet. Pyetni dentistin tuaj nëse keni nevojë për mbushje me pllombë.
4. Dhëmbët e thyer
Ky është lloji i lëndimive nr 1 të dhëmbëve. Një aksident mund të shkaktojë një krisje. Pra, mund të jetë diçka shumë pak dramatike, si pertypja e ushqimit. Rregullimi varet nëse mishi, ose pjesa e dhëmbit që i përmban enët e gjakut dhe nervat, është dëmtuar. Nëse nuk është, dentisti juaj do të lidh një material të fortë/pllombë rrëshirë për dhëmbi, duke zëvendësuar zonën e thyer. Nëse mishi është në rrezik, ju mund të keni nevojë për një rimeso apo kurorë.
-
Dhëmbët e Ndikuar
Një dhëmb tek të rriturit që nuk del ashtu siç duhet është i “ndikuar”. Kjo zakonisht ndodh kur një dhëmb është mbërthyer kundër një dhëmbi tjetër, kockave, apo indeve të buta. Nëse nuk ju pengon dentisti mund të ju rekomandojë ta lini atë. Por në qoftë se ju dhemb apo ju shkakton probleme, një kirurg duhet të u’a largojë atë.
-
Dhëmbët e plasaritur
Ju keni luajtur futboll pa mbrojtëse në gojë, gjatë përtypjes, apo ndoshta nuk e dini as vet se si ju ndodhi, por dhëmballa ju është plasaritur. A mund të ruaj dhëmbin dentisti juaj? Varet. Nëse plasaritja është vetëm sipërfaqsore, një mbushje me pllombë mund të bëjë diqka. Por në qoftë se dhëmbi ende është i ndjeshëm ndaj të nxehtit dhe të ftohtit, problemi është më kompleks. Mundohuni të përtypni në anën tjetër derisa të takoni dentistin tuaj. Nëse plasaritja është afër mishit, me siguri do të ju duhet grryerje dhe kurorë. Ndërsa një çarje e thellë fatkeqsisht do të thotë se dhëmbi duhet të largohet.
-
Ndjeshmëria ndaj të ftohtit
Akullorja ka shije të mirë, por jo kur të ftohtit godet dhëmbët tuaj. Hapi i parë është të gjeni shkakun. Ka mundësi të jetë dëmtimi i dhëmbëve, smalti i dhëmbi i zhveshur,largimi i mbushjes, sëmundje e mishit të dhëmbëve ose rrënjët e ekspozuara. Pasi dentisti juaj kupton problemin, ju mund të keni nevojë për mbushje, gërryerje të dhëmbit ose trajtimin e mishit të dhëmbëve për të zëvendësuar indet e humbura në rrënjë.
-
Dhëmbët e tepërt: Hyperdontia
Sa dhëmbë keni në gojën tuaj? Nëse ju jeni si shumica e njerëzve, keni pasur 20 primar, ose dhëmbë të qumshtit, dhe tani keni 32 dhëmbë të përhershëm. Është e rrallë, por disa njerëz kanë dhëmbë të tepërt, dukuri e e cila në Stomatoligji quhet hyperdontia. Njerëzit të cilët kanë këtë dukuri ata gjithashtu kanë edhe një problem tjetër si qiellzë të çarë apo Sindromin Gardner (i cili formon tumoret që nuk janë kancer). Trajtimi bëhet duke i larguar dhëmbët e tepërt dhe përdorimi i aparateve ortodontike për të përmirësuar nofullën.
-
Dhëmbët e shtrembër
Rregullimi- ordontoncia- nuk është vetëm për fëmijë. Drejtimi i dhëmbëve të shtrembër dhe përafrimi i nofullës nuk bëhet vetëm për të pasur një buzëqeshje me të bukur. Keto lloj intervenime janë pjesë e rëndësishme e përmirësimit të shëndetit të përgjithshëm dentar, lehtësimin e simptomave të ndryshme si dhimbjen e nofullës etj.
Ortodoncia: Eshte nje specialitet I vecantë në stomatologji që merret me drejtimin e dhëmbëve, rregullimin e problemeve të kafshimit, raportin e nofullave me njëra tjetrën dhe sistemin dentofacial. Ortondontët për të rregulluar anomalitë tuaja mund të përdorin aparate të lëvizshme,aparate fikse metalike , aparate fikse estetike, aparate fikse të ashtuquajtua self ligating dhe aparate fikse Transapacorrect.
-
Hapsira në mes dhëmbëve
Ju ndoshta aspak nuk e konsideroni problem një hapsirë në mes dhëmbëve. Ka shumë njerëz të famshëm të cilëve nuk ju pengon kjo pamje përfshirë këngëtaren Madonna, aktorja Anna Paquin, modelja Lauren Hutton, futbollisti Michael Strahan etj. Nëse ju doni të korrigjoni atë, mundësitë tuaja përfshijnë intervenime nga ortodonti si përmiresimi i nofullës për të lëvizur dhëmbët më afër apo zgjidhjet kozmetike si pllomba apo kurora.
-
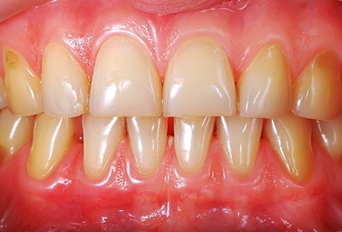
Problemet me Mishra
A rrjedh gjak lehtë nga mishi i dhëmbëve tuaj? A është gjendja për t’u brengosur? A e vëreni tërheqjen nga dhëmbët? Kjo mund të jetë faza e hershme e sëmundjes se mishit të dhëmbëve (gingivitis) ose faza më e avancuar (periodontitis). Një pllakëz e ndërtuar dhe bakteriet e ngjitura poshtë vijës së mishit e shkaktojnë atë. Mostrajtimi i periodontitis mund të shkaktojë humbjen e eshtrave dhe dhëmbët tuaj mund të ndryshojnë ose të bëhen të lëvizshëm. Kjo gjë mund ta bëjë të vështirë përtypjen, madje edhe të folurit. Për të shmangur sëmundjet e mishit të dhëmbëve pastroni dhëmbët me brushë dhe pe, shpëlarni me një gargarë dhe vizitoni dentistin tuaj regullisht për pastrim.
-
Ndrydhja ose bluarja e dhëmbëve
Bluarja e dhëmbëve tuaj quhet bruxism. Stresi është një nga shkaqet kryesore. Dhëmbët jo të drejtë ose qështjet e gjumit mund të jenë gjithashtu fajtorët tek të rriturit. (Në mesin e fëmijëve, shkaqet mund të përfshijnë ndonjë alergji.) Bruxismi mund të ju jap dhimbje koke, lëndim të nofullës, plasaritje apo humbje dhëmbi. Nëse ju ndrydhni/mprehni dhëmbët tuaj gjatë natës, pyesni dentistin tuaj të ju rekomandojë ndonjë mbrojtëse në gojë. Në qoftë është një problem ditor, provoni meditim, stërvitje apo mënyra të tjera për të frenuar stresin.
-
Problemet me dhëmbët e pjekurisë.
Nëse dentisti juaj thotë se dhëmbët tuaj të pjekurisë, ose molarët e tretë po dalin pa probleme, konsideroni veten me fat. Shumica e njerëzve – diku 90% – kanë të paktën një dhëmb të pjekurisë që është i ndikuar apo jo në gjendje të rritet plotësisht. Problemet me dhëmbët e pjekurisë mund të shkaktojnë prishjen e dhëmbëve, dëmtimin e dhëmbëve fqinjë si dhe sëmundje të mishit të dhëmbëve. Dhëmbët e pjekurisë përgjithësisht dalin në mes të moshës 17 dhe 25. Dentisti juaj duhet te ndjekë progresin e tyre. Nëse ju shkaktojnë ndonjë problem, ju sigurisht do të keni nevojë t’i largoni.
-
Nuk ka hapsirë për pastrim me pe
Pa marrë parasysh se sa afër i keni dhëmbët, mes tyre gjithmonë duhet të ketë vend për t’i pastuar. Nëse jo, ju mund të keni nevojë t’i pastroni dhëmbët me pe të hollë apo të dyllit. Ju gjithashtu mund të provoni mjete të tjera, të tilla si pe te lidhur ose tel dentar. Experimentoni derisa ju të gjeni një produkt që funksionon për ju, dhe pastaj përdorini atë çdo ditë. Pastrimi me pe është i domosdoshëm për shëndet të mirë të dhëmbëve.
-
A shkaktojnë Grillët probleme në dhëmbë?
Ekspertët ende nuk e dinë nëse ky trend i modës është i keq për dhëmbët tuaj. Por lidhja e një mbulese dekorative metalike në dhëmbë me ngjitës jo të destinuar për përdorim në gojë mund të shkaktoj dëme. Dhe një Grillë e bërë nga metali që është më e lirë se ari ose argjendi mund të irritojë gojën tuaj. Gjithmonë largoni atë para se të hani dhe sigurohuni që t’i mbani atë dhe dhëmbët tuaj të pastër.












